Hollie’s Story

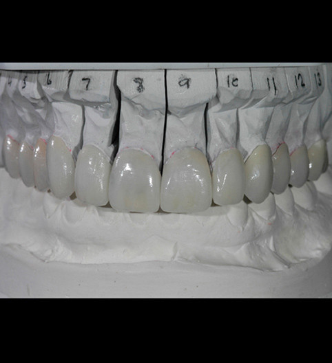
Hollie’s dynamic smile was achieved with eleven feldspathic veneers and one Procera® crown. These restorations have corrected the asymmetry of her old smile. 

Hollie's Story - Cosmetic Dentistry
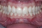
BEFORE

More Cosmetic Dentistry Case Studies

The Precise Art Of Technical Dentistry
Skip to content