Carol’s Story

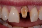
Another highly successful result was achieved in this case by individually customising and layering an Emax LT pressing. This case shows the awesome flexibility of this state of the art product.

Carol's Story - Anterior Aesthetics
BEFORE

More Anterior Aesthetics Case Studies

The Precise Art Of Technical Dentistry
Skip to content