Shelly’s Story

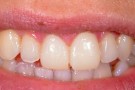
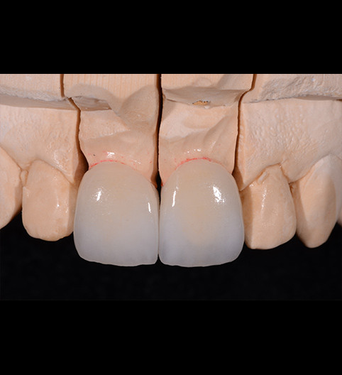
Producing a perfectly matched pair of centrals is a challenge that we enjoy taking head on. In this case Emax LT was the material of choice giving this lovely result.

Shelly's Story - Anterior Aesthetics
BEFORE

More Anterior Aesthetics Case Studies

The Precise Art Of Technical Dentistry
Skip to content