Case studies:
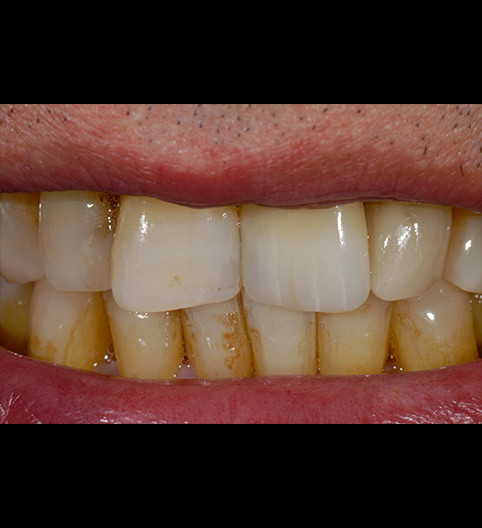
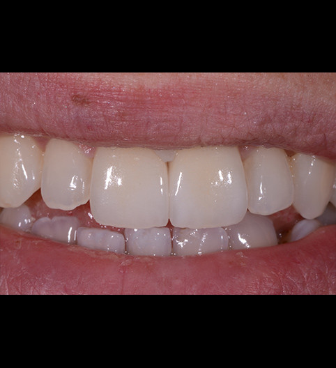
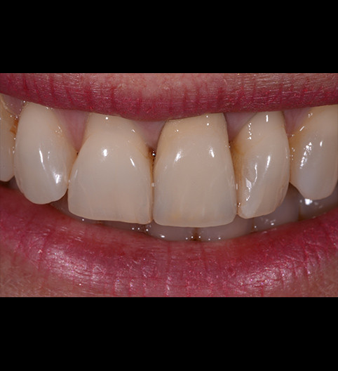
Anterior Aesthetics
Anterior Prepless Cases
Cosmetic Dentistry
Implant Restorative
The Laboratory
Tray Production
Precision Coping Company
Accessibility Tools