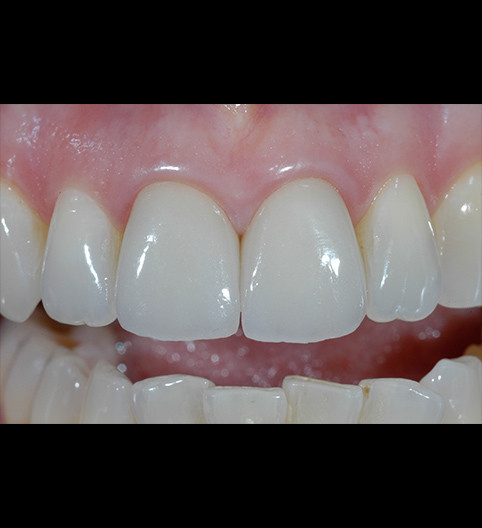
Anterior teeth always create a challenge and restoring this patients teeth was no exception. This stunning result was achieved utilising Procera® Alumina Cores and VM7 Ceramics.
More Anterior Aesthetics Case Studies
The Laboratory
Tray Production
Precision Coping Company
Accessibility Tools