Sue’s Story

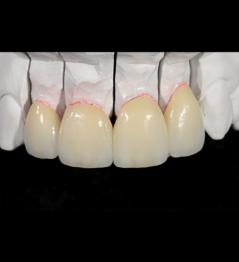
As we get older, it’s not unusual for our teeth to become greyer due to the thickening of the enamel layer as dentine changes. In this case our patient wanted to rejuvenate her smile. This most pleasant result was achieved with Lava zirconia substructures layered with Emax ceram.

Sue's Story - Anterior Aesthetics
BEFORE

More Anterior Aesthetics Case Studies

The Precise Art Of Technical Dentistry
Skip to content