Scott’s Story

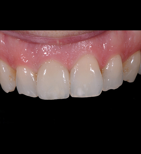
The acid test for our profession is the anterior tooth replacement case – in this single central case we used a Lava zirconia substructure and layered it with Emax ceram fully customised for the perfect match.

Scott's Story - Anterior Prepless
BEFORE

More Anterior Prepless Case Studies

The Precise Art Of Technical Dentistry
Skip to content