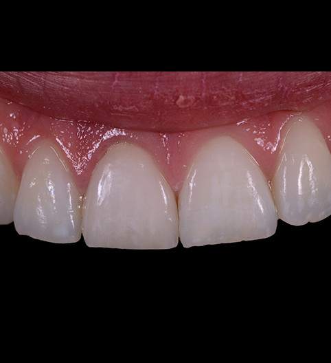
Another highly successful result was achieved in this case by individually customising and layering an Emax LT Pressing. This case shows the awesome flexibility of this state of the art product.
More Anterior Aesthetics Case Studies
The Laboratory
Tray Production
Precision Coping Company
Accessibility Tools