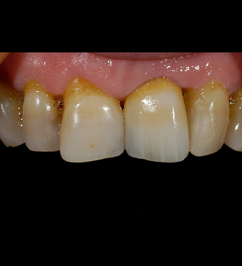
Mike’s Story

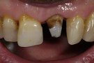
Heres another example of how metal ceramics can win where all ceramics might fail. This case demonstrated the power of traditional techniques where dark tooth structures might be a restorative concern.

Close-up of Mike's damaged teeth, before treatment.
BEFORE

More Anterior Aesthetics Case Studies

The Precise Art Of Technical Dentistry
Skip to content