Oliver’s Story

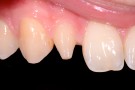
Once again this peg lateral case has been treated with a prepless approach to give this excellent result. The material of choice was pressed Emax HT ingot, individually customised.

Oliver's Story - Anterior Prepless
BEFORE

More Anterior Prepless Case Studies

The Precise Art Of Technical Dentistry
Skip to content