Jacqui’s Story
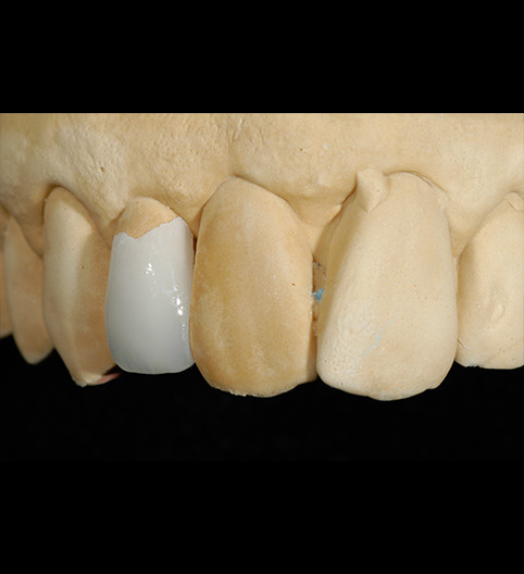
Peg laterals are fairly commonplace and represent the perfect base for prepless restorations. This case shows the power of the minimal approach, however case selection is always imperative . This case was restored using Emax pressed HT ingots and individually customised for the patient for the perfect match.




